Matangkan Lokasi, Munafri: PSEL di TPA Antang Paling Efisien, Tekan Beban Daerah
02 April 2026 14:22
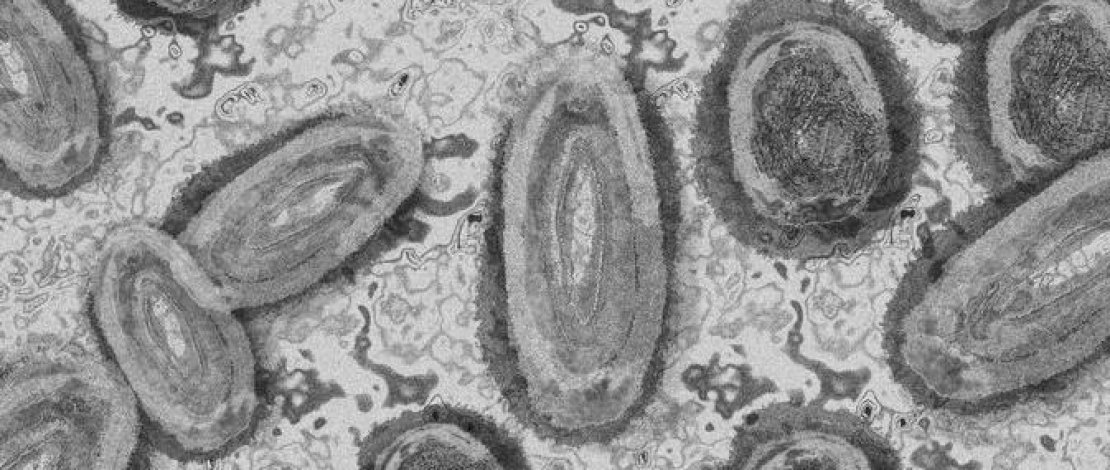
Cacar monyet relatif cukup berbahaya karenaka virus ditularkan dari hewan ke manusia atau disebut virus zoonosis.
BUKAMATA - Penyakit Endemik Afrika Cacar monyet (Monkeypox) yang belakang mewabah di sejumlah negara dikabarkan ditemukan di Indonesia. Seorang warga di Jawa tengah diduga menjadi suspek cacar monyet.

Cacar monyet adalah penyakit langka yang disebabkan oleh infeksi virus monkeypox.
Pada dasarnya monyet adalah inang utama dari virus monkeypox oleh sebab itulah penyakit ini disebut dengan cacar monyet.
Virus monkeypox yang menyebabkan cacar monyet ini hampir mirip dengan penyakit cacar dari hewan lainnya. Seperti smallpox atau orthopoxvirus dan lain-lain.
Cacar monyet relatif cukup berbahaya karenaka virus ditularkan dari hewan ke manusia atau disebut virus zoonosis.
Berbagai spesies hewan telah diidentifikasi rentan terhadap virus monkeypox yang menjadi penyebab cacar monyet.
Ini termasuk tupai tali, tupai pohon, tikus berkantung Gambia, dormice, primata non-manusia dan spesies lainnya.
Masih ada ketidakpastian tentang sejarah alami virus monkeypox dan penelitian lebih lanjut diperlukan untuk mengidentifikasi reservoir yang tepat dan bagaimana sirkulasi virus dipertahankan di alam.
Lantas apa saja gejala cacar monyet yang perlu diwaspadai?
Gejala Cacar Monyet
Melansir dari laman resmi World Health Organization, berikut beberapa gejala cacar monyet yang perlu diwaspadai:
- Demam - Sakit kepala hebat - Limfadenopati (pembengkakan kelenjar getah bening) - Nyeri punggung - Mialgia (nyeri otot) - Astenia yang hebat (kekurangan energi) - Muncul ruam dan bintik-bintik di kulit
Masa inkubasi (interval dari infeksi hingga timbulnya gejala) cacar monyet biasanya dari 6 hingga 13 hari tetapi dapat berkisar dari 5 hingga 21 hari.
Jika mendapati gejala-gejala cacar monyet di atas segeralah untuk memeriksakan kondisi kesehatan Anda ke dokter. Apalagi jika sebelumnya Anda pernah berkontak langsung dengan penderita cacar monyet. Selain itu, Anda juga perlu waspada jika mengunjungi daerah yang terkena wabah dan mengetahui bagaimana penularan cacar monyet.
Penularan Cacar Monyet
Seperti yang sudah dikatakan di atas cacar monyet bermula menular dari hewan, khususnya monyet yang menjadi inang utama virus monkeypox yang ditularkan ke manusia.
Penularan cacar monyet dari hewan ke manusia (zoonotik) dapat terjadi dari kontak langsung dengan darah, cairan tubuh, atau lesi kulit atau mukosa dari hewan yang terinfeksi.
Dilansir dari laman World Health Organization, Di Afrika terdapat bukti infeksi virus monkeypox telah ditemukan di banyak hewan termasuk tupai tali, tupai pohon, tikus rebus Gambia, dormice, berbagai spesies monyet dan lain-lain.
Selain itu, cacar monyet juga dapat menular jika mengkonsumsi daging yang dimasak dengan baik serta hewan yang dikonsumsi berisiko terinfeksi virus monkeypox. Serta, cacar monyet juga dapat menular melalui jalur transmisi seksual, namun diperlukan penelitian lebih lanjut untuk membutikannya.
02 April 2026 14:22
02 April 2026 14:03
02 April 2026 11:56
02 April 2026 09:30
02 April 2026 11:10
02 April 2026 11:56
02 April 2026 11:04
02 April 2026 11:25